


궁근층 내 깊숙이 위치하여 발생합니다. 자궁 크기 자체가 커짐으로써 자궁 내막의 면적이 증가하고 이에 월경량이 증가하게 됩니다.
궁을 덮고 있는 복막 바로 아래에서 발생합니다. 근종이 늘어져서 줄기를 형성하기도 합니다.
합병증이 많고, 작은 크기로도 출혈의 원인이 되기도 하며 육종변성의 위험이 크고, 감염, 화농, 괴사가 되기 쉬우며 방사선 치료에 내성이 있습니다.
자궁근종은 여성에게 매우 흔하게 발생하는 질병으로 35세 이상의 여성의 40~50%에서 발병합니다. 폐경기 이후에는 대개 크기가 줄어들고, 새로운 근종의 발생은 드문 편이지만, 종양이 지속되는 경우 폐경기 이후에도 발견되기도 합니다.

| 20대 | 30대 | 40대 | 50대 | 60대 |
|---|---|---|---|---|
| 9,090명 | 56,630명 | 144,489명 | 77,568명 | 12,315명 |
자궁근종을 가지고 있는 가족 구성원이 있는 경우 자궁근종의 발생률이 높아질 수 있습니다.
지속적으로 상승된 여성호르몬인 에스트로겐이 자궁근종의 성장에 관여하여 자궁근종에 걸릴수 있습니다.
서구화된 식습관으로 불포화지방산의 다량 섭취를 유발하여 체내 에스트로겐의 수치를 높여 자궁근종의 발병을 초래할 수 있습니다.
평소 스트레스를 많이 받으면
생리불순이 잦아져
자궁의 건강을 해칠 수 있습니다.
통증
극심한 생리통, 골반압박통, 커진 자궁으로
인한 신경 눌림
출혈
생리과다 현상, 이유없는 하혈, 지속적인 출혈로
인한 빈혈
난임 & 불임
자궁 내 출혈로 인한 착상장애 반복되는 조기 유산
자궁근종의 크기가 커서 자궁 자체를 적출하는 수술법
침습적방식의 복부절개없이 의료기기를 사용하여 절제하는 수술법
자궁근종 병변 부위를 수술적 치료로 절제하는수술법
자궁 보존하면서 수술보다 더 안전하고 임신과 출산이 가능하고, 절개와 출혈없는 로앤 인공지능 하이푸 프로그램
'고해상도의 MRI영상'과 '실시간 초음파 영상'이 통합 입체 영상 구성으로 환자의 호홉과 신체 움직임에 따라 변화하는 자궁과 종양의 위치를 식별하여 고강도 집속 초음파 에너지가 안전하게 치료합니다.
자궁 내 종양의 정확한 진단을 위해, 하이푸 시술 후 회복과정에서 나타날수 있는 모든 가능성을 자궁치료 특화 검진 프로그램을 통해 추적관찰하는 시스템을 운영하고 있습니다.
주요질환 예방 비수술 하이푸 시술 및기존 하이푸 장비와 달리 자궁근종 및 선근증 치료만을 위한 고강도 집속 초음파 치료법
생리질환, 질염, 등미혼여성, 산부인과 검진 및
조기치료는 이젠 필수인 시대!
여성종합검진
개인 Woman Total 검진 서비스
짧은 시술과 간편 ∙ 안전시술
짧은 입원 기간 시술 다음날 일상생활 가능
기본초음파 검사
난소, 나팔관, 자궁내막, 자궁체부 등의 이상유무 확인
자궁경부암 검사
인유두종 바이러스(HPV) 감염 여부 확인
1회 시술과 당일퇴원가능
짧은 입원기간(1박2일, 48시간)
시술 다음날 일상생활 가능
자궁 보존하면서 수술보다 더 안전하고 임신과 출산이 가능하고, 절개와 출혈없는 로앤 인공지능 하이푸 프로그램

하이푸 시술은 자궁적출을 하지 않고 보존하면서 고강도 초음파
열에너지로 종양을 태워 괴사시키는 치료방법으로,
개복 및 복강경 수술과 달리 시술 후 일상생활로
복귀가 빠른 것이 특징이다.
자궁근종의 양성종양을 진단받은 미혼여성 또는 임신과 출산
계획이 있는 여성, 직장여성들의 선호도가 높습니다.
강력초음파 집속 시술 강력효과
인체에 무해한 고강도 집속초음파 에너지를
활용한 치료방법입니다.
고효율과 미세한 초점으로 자궁내막과 주변 조직을 보존하면서 초음파 집속 시술로 정밀하게 병변을 소멸시킵니다.
자궁내막 보존 및 괴사 조직 소멸
절개와 출혈없이 자궁근종 조직만을 세밀하게 선별 괴사시켜 치료의 완성도를 높입니다.

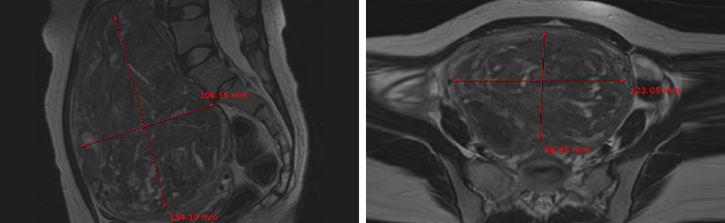
질출혈과 생리과다 및 복부에만져지는 거대 자궁근종으로 자궁근종 하이푸 치료를 위해 내원하였습니다.
하이푸 시술전 MRI사진상 척추와 복벽을 밀고있는 14cm의 혈류가 풍부한 거대 자궁근종이 관찰됩니다. 자궁근종 하이푸 치료는 자궁근종 부위만 선택적으로
치료하는 시술로 자궁근종 전체적으로 자궁근종 하이푸 치료하였고, 14cm 거대 자궁근종 하이푸 치료시간은 164분이 소요되었습니다.
(Uterine Myoma Hifu treatment time 164min)


시술 전 악성화 병변으로의 변화의 가능성 확인 및 숨어있는 악성 병변을 분석합니다.
시술 후 하이푸 치료 브리핑 및 객관적인 평가로
사후 계획을 수립합니다.
초음파영상과 MRI영상 콜라보 를 통해
사후 진행과정을 모니터링합니다.
시술 후 사후계획을 바탕으로 기간별 (시술 후 다음날 부터 월, 분기, 반기, 년 단위) 치료 병변의 흡수정도와 재발위험성 검증 등을 수행합니다.
하이푸 시술 전부터 퇴원 후 정기 검사 일정까지 꼼꼼하게 챙겨드립니다.
원내 코디네이터가 전담 서비스를 통해 사후 진료 및
회복 진행 절차 전담 케어해 드립니다.
