자궁선근증치료,자궁선근증증상,자궁선근증하이푸치료,자궁선근증하이푸시술,하이푸시술,하이푸치료

서브 타이틀 영역

자궁선근증치료 자궁선근증증상 자궁선근증원인 자궁선근증하이푸치료 자궁선근증하이푸시술 하이푸시술 하이푸치료 자궁선근증 치료사례 병변의 소결절의 경계가 모호한 자궁선근증 치료는
고도의 하이푸 시술과 정밀분석에 있습니다.

2depth 영역

서브페이지 컨텐츠

자궁선근증치료 자궁선근증증상 자궁선근증원인 자궁선근증하이푸치료 자궁선근증하이푸시술 하이푸시술 하이푸치료
자궁선근증 치료 선구자, 이재성의 Real Story

자궁선근증 하이푸 시술 및 추적관찰 실제사례

자궁근종 하이푸 시술 및 추적관찰 실제사례 DOCTOR 이재성의
Real Story
자궁근종 ∙ 자궁선근증의 하이푸를 처음 도입한 이유는
바로, 성공치료에 있습니다.
  • 전) 인천기독병원 산부인과 하이푸센터장
  • 전) 한국 건강보험심사평가원 HIFU시술 자문위원
  • 현) 인하대학교 의과대학 산부인과교실 외래교수
  • 현) 가톨릭의대부속 인천성모병원 외래교수
  • 현) 이지스로앤산부인과의원 대표원장
  • (구 이지스여성의원)
  • 현) 하이푸국제교육센터장
  • 대한산부인과학회 정회원
  • 대한산부인과 내분비학회 정회원
  • 대한산부인과 내시경학회 정회원
배경이미지 자리입니다
배경이미지 자리입니다
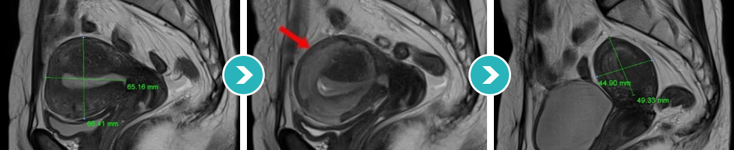
9cm 크기 자궁전벽의 자궁선근증 하이푸 치료후 80~90%이상 치료, 6개월 추적관찰
6cm 크기 자궁후벽의 자궁선근증 하이푸 치료 후 90%이상 괴사, 6개월 추적관찰
8cm 크기 자궁후벽과 저부 자궁선근증 하이푸 치료후 90%이상 치료, 42개월 장기 추적관찰
12cm 크기 자궁 전체적 자궁선근증 하이푸 치료후 80~90%이상 치료, 6개월 추적관찰
· Complications such as bleeding, infection, and inflammation may occur after surgery or the procedure.
Furthermore, subjective satisfaction levels may vary among individuals. Therefore, please consult with a specialist.

Competitiveness of Successful Treatment

Competitiveness of Successful Treatment Aegis Roen Obstetrics and Gynecology clinic ┃ Smile, There's RoenHIFU
  • Possessing Big Data on 16 Years of Successful Non-Surgical HIFU Treatment
    3,000 successful cases nationwide for an individual physician since 2010 (as of September 2024). 바로가기
  • HIFU Procedure Effectiveness Supported by Academic Publications
    10 accepted and published papers, including 8 SCI-level papers in international academic journals (domestic unique record). 바로가기
  • Establishment of a system for early detection and early treatment of diseases for unmarried and reproductive-age women

    Number of Non-Surgical HIFU Procedures Performed (Directly performed by an individual physician domestically)
    바로가기
  • Operation of a 'Uterine Health Guardian' Program by Women's Life Cycle Stage
    A Uterine Disease Follow-up and Observation Program offering protection from various diseases, spanning from adolescents in their teens to women in old age. 바로가기

간편예약

흉터없는 비수술치료, 로앤하이푸 고민 그만! 간편예약! 연락처를 입력 후 신청버튼을 클릭해주세요

24시간 전화상담

24시간 전화상담 02-542-0100
평일오전 10시 ~ 오후 9시
토요일오전 10시 ~ 오후 6시
진료안내

상담전화번호, 카톡상담, 비용상담, 문자상담 바로가기

카카오톡 친구맺고 상담받으세요 ID : slroen