자궁근종치료,자궁근종증상,자궁근종수술,자궁경부암검사,자궁근종,하이푸시술

서브 타이틀 영역

자궁근종치료 자궁근종증상 자궁근종원인 자궁근종수술 자궁경부암검사 자궁근종 하이푸시술 자궁근종 치료사례 로앤 인공지능 하이푸 프로그램은 수술치료보다
임신과 출산에 더 안전하게 자궁근종을 효과적으로 치료하는 새로운 치료법입니다.

2depth 영역

서브페이지 컨텐츠

자궁근종치료 자궁근종증상 자궁근종원인 자궁근종수술 자궁경부암검사 자궁근종 하이푸시술
자궁근종 치료 선구자, 이재성의 Real Story

자궁근종 하이푸 시술 및 추적관찰 실제사례

대한민국 대표 하이푸 시술 의사 DOCTOR 이재성의
Real Story
자궁근종 · 자궁선근증의 하이푸를 처음 도입한 이유는
바로, 성공치료에 있습니다.

올바른 하이푸 치료를 하기 위해서는 시술 전 위험성과 시술 후
자궁과 자궁 주변조직에 대한 영향을 반드시 평가해야 합니다.

  • 비수술 하이푸 시술 사례수
    (국내 개인 통상 2,500례 시술 보유
    _2018년 2월 기준)
    2,500건
  • 국내 개인 2010년 2월 이후
    성공 케이스의 빅데이터 보유
    11년
  • 국내최초 국제학술지SCI논문
    채택 및 등재 2015, 2016
    30회 국제, 한국, 일본, 대만 등
    학회 발표수
배경이미지 자리입니다
배경이미지 자리입니다
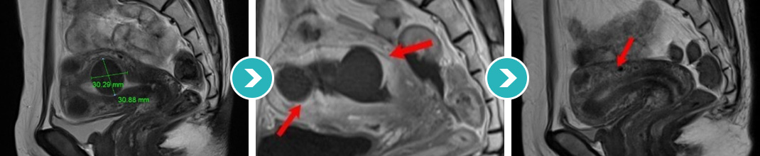
14cm 거대 자궁근종 하이푸 치료 18개월 장기간 추적관찰
4.5cm 자궁근종 하이푸 치료 후 90%이상 괴사, 6개월 추적관찰
점막하 자궁근종 및 2.5cm 근층내 자궁근종 등 다발성 자궁근종 하이푸 치료 후 90%이상 괴사, 6개월 추적관찰
7cm 자궁근종 하이푸 치료 후 90%이상 괴사, 8개월 추적관찰
· Complications such as bleeding, infection, and inflammation may occur after surgery or the procedure.
Furthermore, subjective satisfaction levels may vary among individuals. Therefore, please consult with a specialist.

Competitiveness of Successful Treatment

Competitiveness of Successful Treatment Aegis Roen Obstetrics and Gynecology clinic ┃ Smile, There's RoenHIFU
  • Possessing Big Data on 16 Years of Successful Non-Surgical HIFU Treatment
    3,000 successful cases nationwide for an individual physician since 2010 (as of September 2024). 바로가기
  • HIFU Procedure Effectiveness Supported by Academic Publications
    10 accepted and published papers, including 8 SCI-level papers in international academic journals (domestic unique record). 바로가기
  • Establishment of a system for early detection and early treatment of diseases for unmarried and reproductive-age women

    Number of Non-Surgical HIFU Procedures Performed (Directly performed by an individual physician domestically)
    바로가기
  • Operation of a 'Uterine Health Guardian' Program by Women's Life Cycle Stage
    A Uterine Disease Follow-up and Observation Program offering protection from various diseases, spanning from adolescents in their teens to women in old age. 바로가기

간편예약

흉터없는 비수술치료, 로앤하이푸 고민 그만! 간편예약! 연락처를 입력 후 신청버튼을 클릭해주세요

24시간 전화상담

24시간 전화상담 02-542-0100
평일오전 10시 ~ 오후 9시
토요일오전 10시 ~ 오후 6시
진료안내

상담전화번호, 카톡상담, 비용상담, 문자상담 바로가기

카카오톡 친구맺고 상담받으세요 ID : slroen