- 피임법, 성공률 높은 것을 선택하는 것이 중요해2020.01.21
- 재발률 높은 질염, 여성성형으로 개선할 수 있어2020.01.21
- 여성 자신감 저하의 원인, 여성성형 숙련도 갖춘 의료진 선택2020.01.21
- 계획에 없는 임신 대비, 올바른 피임법 실천해야2020.01.21


자궁내막 또는 자궁내막양조직이 자궁강 이외의 장소(자궁근층, 난소, 난관, 복막, 자궁주위의 각인대, 방광, 질벽 등)에서
증식하는 것을 자궁내막증(endometriosis)이라 하고 특히 자궁근층내에 증식하는 것을 자궁선근증이라고 합니다.
주로 40대에서 50대 여성에서 많이 발생하는 것으로 보고되어 있습니다.
자궁내막 조직이 자궁벽을 파고 들어가 생기는 질환으로, 자궁내막증의 한 종류로
이해되고 있습니다. 역시 심한 생리통과 불임, 생리과다, 불규칙한 출혈, 골반통의
원인으로 작용합니다.
건강보험심사평가원 자궁선근증 유병률 최근 5년 사이 약 20%증가

통계 결과 20~30대의 젊은 여성층에서 자궁근종이나 자궁선근증, 자궁내막증
등의 자궁질환 환자들이 증가하고 있는 것으로 나타나고 있습니다.
최근에는 20~30대 젊은 층에게서 발병률이 빠르게 증가하고 있는데,
이들은 자궁질환에 대한 경각심이 부족해 정기적인 검진을 소홀히 할 뿐만
아니라 극심한 생리통이나 허리통증을 가벼운 월경증후군쯤으로 간주하고
적정 치료시기를 놓치고 있습니다.

자궁선근증이 생기는 원인에 대해 두 가지 가설이 있는데, 자궁내막 조직이 자궁근층으로
스며들어 생긴다는 가설과 자궁근층의 조직이 변화하여 자궁내막조직과 유사해진다는 가설입니다.
지속적으로 상승된 여성호르몬인
에스트로겐이 자궁선근증의 성장에
관여하여 자궁선근증에 걸릴 수 있습니다.
자궁근충의 조직 변화로
자국내막 조직과 유사해져
자궁선근증이 나타날 수 있습니다.
기타요인으로
유전적요인, 여성호로몬 불균형,
스트레스 등
자궁선근증은 자궁근종과 다르게 정상조직과 얽혀있는 형태로
경계가 불분명하여 치료가 까다롭습니다.
자궁근종과 달리 자궁선긍증은 소결절이 없어 경계가 불분명하다는 것이 큰 특징입니다.
보통 자궁근종만큼 크기가 작은 형태이며, 자궁근종과 함께 동반하는 경우도 적지 않습니다.
분산형 타입
DIFFUSE TYPE ADENOMYOSIS
결절형 타입
NODULAR TYPE ADENOMYOSIS
경화형 타입
SCLEROTIC TYPE ADENOMYOSIS
낭종형 타입
CYSTIC TYPE ADENOMYOSIS
신체 내 모든 장기는 따로 떨어져 있는 것이 아니라 모여 있어서 자궁선근증 하이푸 시술 후 하이푸 시술 의사와 함께 병변의
내부부터 외부의 껍질 안쪽까지 초음파 열에너지로 잘 치료했는지 또는 치료과정에서 초음파 열에너지가 주변 장기나 신경에
영향을 주지 않는 전문의의 고도의 하이푸 시술의 능력이 요구됩니다.
미혼 여성의 경우 산부인과 초음파 검진을 통해 근종 등 자궁질환이 발견되면
전문의와 함께 치료방법을 결정해야 하는데, ‘절제’와 ‘적출’과 같은 수술로 근종 등 자궁질환을 치료하면 향후 임신과 출산이 불가능합니다.
자궁근종의 크기가 커서
자궁 자체를 적출하는 수술법
침습적방식의 복부절개없이
의료기기를 사용하여
절제하는 수술법
고강도의 초음파에너지를
한 곳에 모을 때초점에서 발생하는
고열을 이용해 조직을
태워 없애는 시술
자궁 보존하면서 수술보다 더 안전하고 임신과 출산이 가능하고, 절개와 출혈없는 로앤 인공지능 하이푸 프로그램
'고해상도의 MRI영상'과 '실시간 초음파 영상'의
통합 입체 영상 구성으로 환자의 호홉과 신체 움직임에 따라
변화하는 자궁과 종양의 위치를 식별하여
고강도 집속 초음파 에너지가 안전하게 치료합니다.
자궁 내 종양의 정확한 진단을 위해,
하이푸 시술 후 회복과정에서 나타날수 있는 모든 가능성을
자궁치료 특화 검진 프로그램을 통해 추적관찰하는
시스템을 운영하고 있습니다.
기존 하이푸 장비와 달리 자궁근종 및
선근증 치료만을 위한
고강도 집속 초음파 치료법
미혼여성, 산부인과 검진 및 조기치료는
이젠 필수인 시대!
개인 Woman
Total 검진 서비스
짧은 입원 기간
시술 다음날 일상생활 가능
난소, 나팔관, 자궁내막, 자궁체부 등의
이상유무 확인
인유두종 바이러스(HPV) 감염
여부 확인
짧은 입원기간(1박2일, 48시간) 시술
다음날 일상생활 가능
자궁 보존하면서 수술보다 더 안전하고 임신과 출산이 가능하고, 절개와 출혈없는
로앤 인공지능 하이푸 프로그램

자궁선근증을 4가지 형태(경화형, 결절형, 낭종형, 분산형)로 분류할 수 있으며
각 유형의 맞춤 차별적 시술을 진행합니다.
자궁선근증은 환자에 따라 다양한 크기와 유형을 보이기 때문에 하이푸 시술 전에
정확한 치료플랜과 주변 조직에 영향을 주지 않는 정밀한 시술법이 요구됩니다.
자궁내막과 주변 조직을 보존하면서 초음파 집속 시술로
정밀하게 병변의 세포단위로 조사 ∙ 소멸시킵니다.
절개와 출혈없이 자궁근종선근증조직만을 세밀하게 선별 괴사시켜
치료의 완성도를 높입니다.
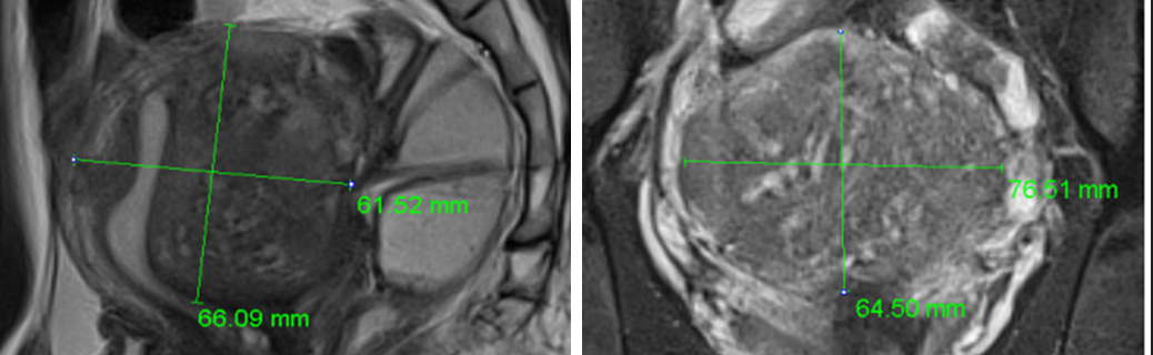
심한 생리통과 항문통증으로 자궁선근증이 진단되어 자궁선근증 하이푸 치료를 위해 입원하셨습니다.
하이푸 시술전 MRI사진상 자궁은 6.5크기로 커져서 자궁후벽을 중심으로 자궁선근증성 변화가 관찰됩니다.
아래의 MRI 사진은 자궁선근증 하이푸 시술 전후의 사진을 비교한 사진입니다. 자궁선근증 하이푸 치료후 90%이상 치료되어 치료부위가 회색과 검은색으로
나타나며, 차후에 좋은 경과를 기대하며 가장자리의 잔여병변은 호르몬 치료하면서 경과관찰 하시도록 하였습니다.
환자 맞춤별 사후관리 계획 = MRI 통합 하이푸 본질
이지스로앤산부인과는 시술 후 환자분의 라이프사이클을 고려하여 환자분과
보호자분 모두 안심할 수 있도록 사후 계획수립, 정기검진 모니터링, 추적관찰
서비스 등 안심사후관리를 위한 체계적인 프로그램을 운영하고 있습니다.
시술 전 악성화 병변으로의 변화의 가능성 확인 및
숨어있는 악성 병변을 분석합니다.
시술 후 하이푸 치료 브리핑 및 객관적 인 평가로
사후 계획을 수립합니다.
초음파영상과 MRI영상 콜라보 를 통해
사후 진행과정을 모니터링합니다.
시술 후 사후 계획을 바탕으로 기간별(시술 후 1주~1년 단위)
치료병변의 흡수정도와 재발위험성 검증과정을 수행합니다.
환자와 보호자는 하이푸 시술 전 환자의 상태와 그에 따른 시술
계획을 통해 걱정과 근심 해소 및 심리적 안정을 찾을 수 있어 치료효과 증대됩니다.
