- 피임법, 성공률 높은 것을 선택하는 것이 중요해2020.01.21
- 재발률 높은 질염, 여성성형으로 개선할 수 있어2020.01.21
- 여성 자신감 저하의 원인, 여성성형 숙련도 갖춘 의료진 선택2020.01.21
- 계획에 없는 임신 대비, 올바른 피임법 실천해야2020.01.21


ROEN Artificial Intelligence HIFU SYSTEM
궁근층 내 깊숙이 위치하여 발생합니다.
자궁 크기 자체가 커짐으로써 자궁 내막의 면적이
증가하고 이에 월경량이 증가하게 됩니다.
합병증이 많고, 작은 크기로도 출혈의 원인이
되기도 하며 육종변성의 위험이 크고, 감염, 화농,
괴사가 되기 쉬우며 방사선 치료에 내성이 있습니다.
궁을 덮고 있는 복막 바로 아래에서 발생합니다.
근종이 늘어져서 줄기를 형성하기도 합니다.
하이푸 시술은 자궁적출을 하지 않고 보존하면서 고강도 초음파 열에너지로 종양을 태워 괴사시키는 치료방법으로, 개복 및 복강경 수술과 달리
시술 후 일상생활로 복귀가 빠른 것이 특징이다.
자궁근종의 양성종양을 진단받은 미혼여성 또는 임신과 출산 계획이 있는 여성, 직장여성들의 선호도가 높습니다.
The best treatment for humans안전한 치료를 위한 초음파 에너지 이동 경로 파악,
하이푸 시술의 핵심은 초음파 집속 에너지를 병변에 정확히 조사하는 것이며.
정밀판독 기술은 병변의 위치와 더불어 초음파 에너지의 이동경로를
파악할 수 있도록 합니다.
Artificial Intelligence - Software System사람의 몸은 끊임없이 움직입니다. 정확한 치료를 위해서는 실시간으로
움직이는 병변의 위치를 파악할 수 있어야만 합니다.
더욱 안전한 치료를 위한 이지스로앤산부인과의 경쟁력입니다.
Precise Positioning환자의 체형과 굴곡, 자궁과 종양의 위치와 크기에 맞춰 고강도 집속
초음파 에너지 진입경로를 정확하게 설정합니다.
가임기 여성들이 선호하는 자궁을 온전히 보존하면서 자궁근종
조직만을 소멸시키는 안전하고 간편한 치료법
High Intensity Focused Ultrasound효율성이 높은 고강도 초음파 에너지로 세밀한 초점
형성으로 강력한 치료 효과
하이푸 시술은 체외에서 방출된 초음파를 돋보기처럼 한 점에 집중하여 목표하는 지점의 온도를
상승시켜 근종세포를 파괴하는 최신의 치료방법으로, 자궁근종수술이나 자궁적출 수술과 다르게
큰 장점은 전신마취를 하지 않고 복부에 절개없이 치료하며, 2~3일 입원 후 바로 일상생활로
복귀가 빠른 장점이 있습니다.
하이푸 시술의 안전도와 치료효과를 높이려면 초음파 및 정밀한 MRI 검사를 통해서 자궁근종의
형태과 위치를 정확하게 파악해야 정확한 진단과 좋은 치료 결과를 기대할 수 있습니다.
ROEN HArtificial Intelligence HIFU SYSTEM
자궁근종 시술의 2,000사례 이상의
수많은 성공 케이스를 보유한 Dr. 이재성
인체에 무해한 고강도 초음파 집속
치료를 통한 자궁근종 조직 괴사
자궁근종의 비정상 혈류를 안정시킨 후
하이푸 시술 진행
미혼 여성의 경우 산부인과 초음파 검진을 통해 근종 등 자궁질환이 발견되면
전문의와 함께 치료방법을 결정해야 하는데, ‘절제’와 ‘적출’과 같은 수술로 근종 등 자궁질환을 치료하면 향후 임신과 출산이 불가능합니다.
자궁근종의 크기가 커서
자궁 자체를 적출하는 수술법
침습적방식의 복부절개없이
의료기기를 사용하여
절제하는 수술법
자궁근종 병변 부위를
수술적 치료로 절제하는수술법
시술 전 악성화 병변으로의 변화의 가능성 확인 및 숨어있는
악성 병변을 분석하는 MRI 촬영
시술과정 초음파영상과 MRI영상 콜라보 모니터링
시술 후 하이푸 치료 브리핑 및 객관적 평가
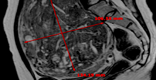
MRI촬영으로 자궁근종의 상태(위치, 개수, 크기, 모양 등), 자궁근종의 혈액공급 및 혈류,
자궁근종과 인접한 주요장기 및 구조, 초음파 발사경로의 확보 등을 분석함. 또한, 정밀초음파는 제거할 자궁근종의 개수, 자궁근종의 치료 슬라이스 수와
각 슬라이스의 체적, 근종제거마진, 근종과 인접한 장기와의 상관관계 등을 분석합니다.
시술 전 MRI검사 결과를 바탕으로 자궁근종이나
자궁선근증 등 종양의 위치, 크기, 모양 등 정확하게 파악
고강도 초음파에너지 출력 크기와 진입 경로 등
치료 계획 수립
사전치료계획을 바탕으로 초음파 MRI융합
영상과 실시간 초음파 영상가이드로 하이푸 치료진행
시술 전 악성화 병변으로의 변화의 가능성 확인 및
숨어있는 악성 병변을 분석합니다.
시술 후 하이푸 치료 브리핑 및 객관적인 평가로
사후 계획을 수립합니다.
초음파영상과 MRI영상 콜라보를 통해
사후 진행과정을 모니터링합니다.
시술 후 사후계획을 바탕으로 기간별(시술 후 다음날 부터 월, 분기, 반기,
년 단위) 치료 병변의 흡수정도와 재발위험성 검증 등을 수행합니다.
하이푸 시술 전부터 퇴원 후 정기 검사 일정까지
꼼꼼하게 챙겨드립니다.
원내 코디네이터가 전담 서비스를 통해 사후 진료 및
회복 진행 절차 전담 케어해 드립니다.
환자와 보호자는 하이푸 시술 전 환자의 상태와 그에 따른 시술
계획을 통해 걱정과 근심 해소 및 심리적 안정을 찾을 수 있어 치료효과 증대됩니다.
