Former Head of Obstetrics and Gynecology at Incheon Christian Hospital
Current Chief Director at Aegis Roen OBGYN Clinic
New Medical Technology Application
HIRAHIFU Consultation
First Presentation at the Korean Society of Obstetrics and Gynecology
Introduction of HIFU to Korean Obstetrics and Gynecology in 2010
Application for HIFU Health Insurance Coverage
https://www.haifumedical.com/html/article/184.html?utm_source=chatgpt.com

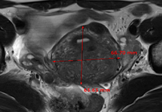
자궁선근증 하이푸 시술 후 1년 임신과 출산 사례입니다.6.5 cm 자궁선근증 하이푸 치료시간은 96분이 소요되었습니다. (Adenomyosis Hifu treatment time 96min)아래의 MRI 사진은 자...

자궁근종 비수술 하이푸 치료 1년 6개월 후 임신사례입니다.자궁근종 하이푸 치료는 자궁근종 부위만 선택적으로 치료하는 시술로 자궁근종 전체적으로 시술하였습니다... 4cm 3cm 등등 다발성 자궁근종 하이푸 치료시...

자궁근종 비수술 하이푸 치료 후 분만사례입니다. 자궁근종 하이푸 치료는 자궁근종 부위만 선택적으로 치료하는 시술로 자궁근종 전체적으로 시술하였습니다. 8cm 액화변성 자궁근종 하이푸 치료 시간은 57분이...

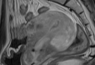
자궁선근증 비수술 하이푸 치료 후 임신사례입니다.하이푸 시술전 MRI 사진상 자궁은 6cm 크기로 심하게 후굴되어 있으며 자궁후벽을 중심으로 자궁선근증변화 소견이 관찰됩니다. 아래의 MRI 사진은 자궁선근증 하이푸...

자궁근종 비수술 하이푸 치료 후 임신분만사례입니다. 아직 자녀가 없으신 분으로 복부에 만져지는 증상으로 자궁근종 하이푸 치료를 위해 내원하였습니다. 하이푸 시술전 MRI 사진상 자궁은 7.5cm 크기로 자궁전벽의 ...

자궁근종 비수술 하이푸 치료 후 임신Case입니다.1명의 자녀를 자연분만하신 분으로 생리과다 및 질출혈 증상으로 자궁근종이 진단되어 자궁근종 하이푸 치료를 위해 내원하였습니다. 하이푸 시술전 MRI 사진상 자궁내...

정말 오랜만에 만나뵈었네요. 2012년 5월 시술을 받으셨던 분이세요. 시술후 컨디션도 너무 좋으시네요. 워낙 다발성으로 커서 4시간이상 치료해드렸었답니다. ^^;너무 건강하고 잘 지내셔서 너무 행복합니다. 건강에대...

너무 반가운 손님이 방문하셨어요....^^누구냐면요...2013년도에 하이푸 시술을 받으셨던 분인데요.. 시술당시는 미혼이었는데요...시술직후 결혼하셔서 임신하셨었거든요.임신후 자연분만까지 잘 하셔서 득남하셨었어요....

선생님덕분에 2016년 안아프게 건강히잘 지낼 수 있어서 감사하고 또 감사드려요~^^선생님도 2016년 마무리잘하시고요.항상건강하시고..2017년 행복한일 가득 있으시길 바랄께요~^^메리크리스마스입니다♡

건강에 문제가 생겨 아픈 환자를 최선을 다해 치료하는 것은 당연한 의료인의 의무이에요. 그런 당연한 일을 해나가도 건강해져서 밝은 모습으로 기뻐하시는 환자분들을 볼때가 가장 보람차고 행복하답니다. 건강해지셔서 감사합...

2016년에 경주에서 오셔서 심한 자궁선근증으로 치료받으셨던 분께서 예전에 오실 때에도 경주첨성호두빵을 선물로주셨었는데요. 오늘 6개월째 내원하셔서 MRI 검사로 내원하셨구요제가 전번에 넘 맛있게 먹은걸 아셨...

하이푸 시술을 받으시고 외래진찰 오신 환자분의 어머님께 빵선물을 받았어요.담백하게 구운 우리밀빵인데요. 쫄깃하고 정말 맛있었답니다. 병원 직원들과 맛있게 나누었어요. 치료를 하고 환자를 볼때 가장 뿌듯한 순간이...